ひざの痛みがなぜ取れないの?
老若男女を問わず、ひざの痛みを抱えている人がいます。

スポーツ選手にも多いですし、

主婦にも多いですし、

サラリーマンにも多いです。

皆さん、病院にまずいきます。

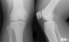
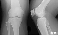
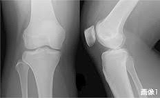
そこでレントゲンを撮ります。

異常が無いという人が約8割です。
あとの2割の人は、ひざの軟骨や何かしらの原因により、ひざの痛みを訴えています。

ではこの8割の原因がない人が、なぜいつまで経っても
ひざの痛みが治らないのでしょうか
痛み方にも色々あって、
例えば正座ができない

階段の昇り降りができない

体重をかけるとひざが痛み

歩くと痛い

走ると痛い

寝ていても痛い

じっとしていても痛い

身体ごとひねるとひざが痛い

など痛み方にも色々です。
中には病院や接骨院などに長く施術に行っているにも関わらずなかなか治らないという人もたくさんいます。
どうして良くならないのでしょうか。
また、レントゲンや検査でも、

異常が無いのに、なぜひざに痛みを訴えるのでしょうか。

ひざの痛みの原因には
筋肉の問題
関節の問題
半月板の問題
各靭帯の問題
関節包の問題
軟骨の問題
神経や血管上の問題
だいたいこのどれかに原因があります。
しかし皆さん、このどれにも当てはまらないでひざが痛いのです。

どうしてでしょうかね?
これを読んでいる人は、まさに私、と思っている人もいるでしょう。

答えを言いましょう
それは、長年のひざの痛みを

脳が覚えてしまっていて

痛いのが当然だと認識してしまっています。

ですから脳の間違った認識を取り除かないと、

ひざの痛みはいつまで経っても痛いままなのです。

とくにひざは脳の認識が行きやすいと言われています。

当院では、異常の無い膝の痛みの人には脳の痛みの認識を脳の遮断に必要なツボを使い、

痛みの認識を取り除くことでひざの痛みからまるで嘘のように解放されていきます。

大学病院や大きな病院ほど、ひざ、つまり患部しか診ません。

レントゲンや超音波検査など、


場合によっては関節鏡などを使って、

ひざをとことん調べます。
しかし原因が見当たらず、挙句の果てには心療内科を勧められる病院も多いです。
長年ひざの痛みをお持ちの方は
早く気付いた方がいいですよ。

そして当院で間違った脳の認識を早く取り除く施術をすることをお勧めします。
